即拔即种是什么?种牙找孙明宇!
导读:随着种植牙广告的铺垫盖地,很多缺牙人都知道了种植牙,那,即拔即种种植牙是什么呢? 即拔即种牙齿种植就是拔完牙齿后,无需长时间等待拔牙伤口愈合就可以直接进行种植牙手术...
随着种植牙广告的铺垫盖地,很多缺牙人都知道了种植牙,那,即拔即种种植牙是什么呢?
即拔即种牙齿种植就是拔完牙齿后,无需长时间等待拔牙伤口愈合就可以直接进行种植牙手术治疗。
虽然即拔即种是大大缩短了等待的时间,但是对于患者口腔健康要求特别高,并不是所有人都适合选择即拔即种。

最重要的条件是患者牙槽骨要有足够的高度和宽度,骨量要足。除了骨量要足外,若患有牙周疾病、牙龈组织吸收、牙槽骨吸收、深覆合、夜磨牙、重度吸烟等就不太适合即拔即种。
总之牙齿缺失后,不管选择哪种牙齿修复方式,找对医生非常关键!!
协和医院口腔医学中心主治医生-孙明宇专家,湖北省创伤整形专委会委员、湖北省科技创新二等奖、疑难阻生牙拔除专家、仁爱口腔医院特邀口腔种植专家。毕业于中南大学湘雅医学院,本硕连读。对全/半口种植、颌面部肿瘤、口腔外科手术拥有丰富的临床经验,发表科研论文数篇,均为核心期刊及外文期刊,对各种疑难种植病例经验丰富。
擅长:全/半口种植手术,口腔肿瘤、口腔溃疡、阻生牙、牙体以及牙髓疾病、常见牙周疾病的诊治,掌握复杂牙拔除、口腔颌面部美容修复、口腔正颌手术、牙体牙髓疾病的治疗、常见牙周疾病的诊治,常见修复体及义齿的制作及牙齿的错颌正畸和种植手术。

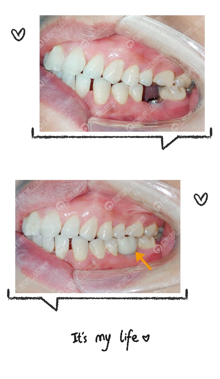
即拔即种种植技术,实现“当天来院,当天种牙、当天用牙”,让你当天就可以享受美食。

全球时尚观察网部分内容来源于互联网,登载此文出于传递更多信息之目的,并不意味着赞同其观点或证实其描述。文章内容仅供参考,如有侵犯版权请来信告知E-mail:1039585111@qq.com,我们将立即处理。
分享:


