河北燕达医院胸心外科“微创\"手术又创新高 ,1个“小切口”解决4个“大难题”
最近,河北燕达医院胸心外科用“微创技术”,经一个5厘米的小切口,完成了肋骨骨折内固定+血胸清除+肺破裂修补+肺大泡除等四项手术操作。由于手术创伤小,恢复顺利,手术后第二天78岁的高龄患者就能下地活动了。
家住三河段甲岭镇的78岁老人黎老先生(化名),外出遛弯儿时不幸被汽车撞伤胸部,造成剧烈胸痛、呼吸困难,当地医院做了初步检查后经120紧急转诊住进了河北燕达医院胸心外科病区。
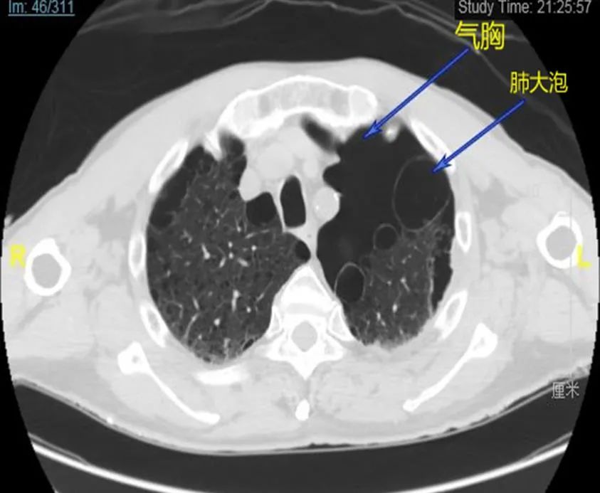
经过胸部CT及肋骨三维重建等检查,显示这是一个重度胸部创伤伴有自身肺部严重疾病的病例。车祸伤致左侧6根肋骨骨折、右侧3根肋骨骨折、肋骨断茬刺破肺产生胸腔积血积气(血气胸)。同时老人自身还有老年性肺气肿、左侧多发性肺大泡,这些肺大泡如同“定时炸弹”随时会破裂造成自发性气胸或血气胸(见图1 、2)。

图1 CT所见双侧多发性肋骨骨折

图2 CT所见血气胸、多发性肺大泡
由于这些导致老人正常呼吸时胸部疼痛、咳嗽或起卧时胸部剧烈疼痛,惧怕咳痰又导致痰液淤积、肺不张和肺感染,严重低氧血症、心率加快。此时,生命安全受到了严重威胁,手术治疗是唯 一有效的治疗方法。但是,让医生们“投鼠忌器”的是:患者高龄体衰、重度胸部创伤、自身严重肺部疾病、全身麻醉、胸部外科手术创伤等高危风险因素。是否能“闯过”手术关,有很大的不确定性,极具风险和挑战。然而,非手术的保守疗法不能尽早解决根本问题,高龄病人只要因病卧床,各种致命的并发症会接踵而至,预后极差。
吴骏主任及医疗护团队秉承生命至上,勇于担当的医德精神,凭借丰富的临床经验和精熟的“微创”手术技术,为患者制定了“微创性”、“四合一”的手术治疗方案。经向患者家交待病情,介绍治疗方案、权衡风险利弊,家属非常理解,积极配合治疗。
手术时吴骏主任在王敬、李博文、苏广医生配合下,仅在患者的左胸腋下做了5厘米长的小切口,巧妙利用肌肉间隙,避免损伤肌肉、血管和神经,用“微创”的MIPO技术将Matrix rib内固定材料固定在肋骨骨折处(接骨)。又经此小切口用胸腔镜技术,清除了胸腔积血数百毫升,缝合修补了多个肺破裂口,切除了多发的肺大泡。手术历时2小时,出血仅10毫升(图3、4)。

图3 胸腔镜所见肋骨骨折、肺损伤、
胸腔积血

图4 微创手术
手术麻醉清醒后,患者呼吸顺畅、胸痛明显减轻,能够有力咳痰,没有出现并发症,很快康复出院。手术后一个月,当老人健步走进门诊复查时,当老人健吴骏主任差点儿认不出来这位曾经“重危”的患者了。有听力和语言障碍的黎先生虽然无法用言语表达对医护人员的感激之情,但每逢吴骏主任查房,他都会笑着一直竖着大拇指,这无疑是对吴骏主任及其团队最大的褒奖(图5、6)。

图5 患者的感激

图6 术后1个月
据吴骏主任介绍:人体共有24根肋骨,它们分列胸部两侧形成桶状胸廓,保护心肺以及重要大血管。肋骨骨折,轻则呼吸困难,疼痛难忍;严重将影响心肺功能并威胁到生命。轻症的肋骨骨折,在没有错位的情况下可采用保守治疗;而多根多处的肋骨骨折很容易引起连枷胸、气胸、血胸、血气胸、失血性休克等各种并发症,严重的会危及生命,需要及时手术治疗。
记者了解到,吴骏主任有40余年胸外科医生的工作经历,是北京市胸外科知名专家,国内胸部创伤救治领域的知名专家,创造性使用“微创”技术,减轻手术创伤,胸部创伤暨肋骨骨折手术逾千例,治疗效果达国内先进水平。
近两年,燕达医院胸心外科在吴骏主任的带领下,在救治胸部创伤(肋骨骨折、肺破裂、膈肌破裂、血气胸、心脏破裂等)方面已经取得了骄人的成就,发挥了京东地区危重胸部创伤救治中心的作用,仍将再接再厉,运用与北京同质化的医疗技术造福一方百姓。
专家简介

吴骏 主任医师
专家门诊:周一上午、周三上午(门诊二层胸外科14诊室)
河北燕达医院胸心外科主任
国内胸部创伤救治领域知名专家
北京市胸心外科知名专家
原首都医科大学附属北京潞河医院、潞河临床医学院胸心外科主任
在胸心外科专业工作40余年,担任过3家“三甲”医院胸心外科主任。
主要技术专长:
胸部外科疾病的诊断和手术治疗,精于“微创”手术技术(肺癌、肺结节、食管癌、贲门癌、贲门失弛缓、纵隔肿瘤、纵膈感染、胸壁畸形、胸壁肿瘤、胸壁感染、胸膜外科疾病、脓胸、胸部创伤、胸部肿瘤的射频消融、微波消融等)。
心脏外科疾病的诊断和手术治疗(先天性心脏病、心脏瓣膜病、冠心病、心脏创伤破裂等)。
主要学术成就:率先在国内倡导并实践SSRF先进理念与技术、微创化治疗理念与技术;率先在国内使用多种内外固定新材料,胸部创伤暨肋骨骨折手术逾千例,治疗效果达国内先进水平。美国胸壁创伤学会(CWIS)专家共识撰稿专家。主编出版胸部创伤著作2部(《危重胸部创伤处理技术》、《胸部创伤治疗学》)。发表医学论文40余篇(SIC2篇)、省级科技进步奖1项、在国内16个医学学术组织任职。
全球时尚观察网部分内容来源于互联网,登载此文出于传递更多信息之目的,并不意味着赞同其观点或证实其描述。文章内容仅供参考,如有侵犯版权请来信告知E-mail:1039585111@qq.com,我们将立即处理。


